新浪资讯

36岁,IT男,爱健身,无三高!差点猝死

新浪新闻

关注

我,36岁,一名身强力壮的IT猛男,没事就喜欢打打拳,前几天上网摸鱼时,我在豆瓣上刷到一挺火的话题 ——#关于死后世界的想象大会#在这年轻人的“地头”,放眼望去,很多人写的居然都是猝死经历???

热门一深圳妹子,泣血分享自己脑梗猝死前几分钟的亲身体验:

也有其他网友分享在猝死边缘试探的经历 ——

好家伙,确定不是电视剧情节?不知为啥,我抱着吃瓜的心态,看得那叫一个津津有味。。。。。。

打死我也没想到,突然有一天,我竟也把这魔幻的情节经历了一遍!>>

可我,明明是个爱运动,不熬夜,不烟不酒,无三高的养生boy啊!

胸口痛到炸裂,才4月就疯狂冒汗

我的人生,突然“断片儿”了

作为IT界的小拳王,我挺注重身材管理的。

尤其去年因为疫情,我在家呆着的时间突然变多,体重也疯涨了20斤!

原有的八块腹肌变成了一块肥美的“猪腩肉”,让我有了深深的危机感,于是今年打拳,我决定拿出猛男应有的水准!

来源:电影《羞羞的铁拳》截图

一回合结束后,我一屁股坐在长椅上休息,我发现自己冒的汗比以前多,

当我起身准备再去打一组拳时,猛地一下,我又感觉有人在我胸口上表演胸口碎大石,又沉又闷。

一瞬间,我突然想到了我那常年患有心绞痛的老爸

“我会不会也。。。。。。”

直男的特点就是心大,很快我就放宽了心,

“害,不可能!我爸那是因为有‘三高’,我又没有,自己吓自己可还行?”

然而,真正让我开始意识到不妙的,是回家休息半小时后 ——

我胸痛胸闷的症状并没有如期缓解,反而愈演愈烈,

当时才4月中旬,我却在屋子里满头冷汗,像刚从水盆里捞出的毛巾。

“不对劲,必须得去医院看了。”

老婆一把抓过车钥匙,带着我夺门而出。慌乱中,我攥了一把药柜里的硝酸甘油。

这是我爸平时的救命药。

车子飞驰在去往医院的路上,与此同时,我感觉自己也正一点一点走向鬼门关——

胸口更痛了,好像下一秒心脏就会蹦出来;

手和脚也像被抽干力气一样瘫软着;

脑子已经不太清楚,闪回着乱七八糟的事。

突然间,老婆摇晃着我说:“医院到了,我先去停车,急诊就在前面,你先自己走过去。”

走往急诊的这几步路,我的衣服已经湿透,却冷得像坠进了冰窖。

还没走到急诊,我的胸口猛地像炸裂了一样,随后两眼一黑,彻底断片儿!

心脏骤停!没有呼吸!

医生说,我的心脏“窒息”了

我怀疑,自己可能死了……

倒在地上的我像中邪了一样,全身抽搐,口吐白沫,脸色苍白,手脚发紫。。。。。。

很快,我被医生护士们包围了起来,

“病人心跳骤停,没有呼吸!”

“开始进行心肺复苏,电除颤器准备!”

来源:soogif

不知过了多久,躺在地上的我迷迷糊糊听见有人大喊,

“病人心跳意识恢复,快推绿色通道!”

就这样,我被医生护士们从鬼门关“捞”了回来。

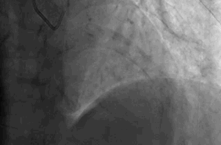
很快,我被确诊急性广泛前壁心肌梗塞。

“心脏左前降支开口位置几乎全被堵了。”

前降支血管

负责左心室的大部分收缩功能。

如果这条血管被堵住了,随时可能发生晕厥、恶性心律失常、心跳骤停猝死。

这条血管被堵住后,心脏就像被扼住了一样没法收缩,

没了血氧供给,心脏前壁范围出现大面积梗死,也可以理解为,心脏窒息了。

想活命,心脏就得装“支架”

可我爸死活不让装

虽然我这会儿清醒了,但血管还是堵着。

这意味着,不做手术,我可能分分钟又猝死!

要想活命,只有紧急进行介入手术,给心脏植入支架

谁料,远在老家的老父亲,在电话里强烈抗拒装支架!

原因让人哭笑不得 ——

老人家之前心绞痛,医生建议他装支架,他上度娘查过,说是支架不靠谱……

可阎王爷不会等人,犹豫一秒,就少一分活下去的希望,

这时一位女医生急匆匆地把知情同意书拿到我面前:

“刚才我和你家人说的你应该也都听到了,决定权现在给你。”

我特么毫不犹豫就把字给签了!

后来的一切,都证实了医生和我的决定是对的!

装了心脏支架后,胸痛没了,手术2天后,我就可以下床简单活动,就连疫情期间养肥的20斤肉,也减了不少。。。。。。

不熬夜,爱运动,无三高

年纪轻轻的,怎么就猝死了?

医生跟我说了一个惨痛的现实:

现在心梗很多,

  • 有些人一下子就没了心跳,根本来不及救,多是年轻人;
  • 有些人不会心跳骤停,经过救治,安然出院,多是老年人。

为什么反而容易猝死的反而是年轻人?

就诊延迟,心肌坏死

医生打了个比方,这就好比泳池里有人呛水——

  • 初学者呛一口就慌得不行乱折腾,越折腾反而越往下沉;
  • 会游泳的就不一样了,平时呛惯了,已经不慌了,反而更容易没事。

年轻人突发心梗,就像新手游泳呛水。

心脏冠状动脉在突然之间完全堵塞,容易造成心肌急性缺血,又缺少侧枝循环,

而且,因为发生得急促、突然,缺少对缺血的预适应,所以更容易发生室颤、猝死。

而年轻人得心梗的原因,多是激烈运动、过度劳累,引发应激反应,导致血管痉挛。

心梗发生前,会有哪些“暗示”?

读懂4个信号,关键时刻救回一命

01 。第1次胸痛

闷塞感严重,透不过气来,还出汗,这些症状持续5分钟以上不缓解;

02。 再发胸痛

以前胸痛过,这次更严重,而且持续时间更长;

来源:网络

03。 上腹闷塞

不知道什么原因,但是又跟以前的腹痛不同,持续几分钟不能缓解;

04。 有以下症状

胸闷,头昏、晕倒,甚至意识迷糊;

“鬼门关”前千万别踩这6个坑

否则神仙也救不了你

01。

大意、轻敌

“喝两口水缓缓就行了”

总以为自己是金刚不坏之身。

身体出现啥问题首先想着是麻烦,然后以为躺着歇会,喝两口水就能解决……又不吃馒头噎到了,喝水有啥用?

[保命秘籍]

时间就是心肌,时间就是生命。每耽误一分钟,就意味着更多心肌细胞坏死。

不舒服了,赶紧去医院。

02。

自己坐公交、打车去医院

有统计,心梗患者比中风患者发病后平均晚到医院2小时,因为相较中风,心梗往往由于胸痛不剧烈或者不典型,很多人选择忍,

在心内科的门急诊,经常可以见到很多患者是坐公交、打车,甚至骑车来的……

[保命秘籍]

叫120救护车!

120救护车上有专业的急救设备和经验丰富的急救人员,是送院途中的生命保障。

胸痛发生后,一定要优先呼叫120,乘坐救护车送院。

03。

对医院“挑三拣四”

曾有一名姓余的男子,58岁,胸痛3小时后就诊,

医生建议他立即住院抢救,但因为有亲戚在省城大医院,他们不听劝告,执意赶往省城,结果途中死亡!

之前我们就报道过一个“反咬一口”的案例——

[保命秘籍]

明确诊断为心梗后,快速救治是关键。

此时切莫挑三拣四、舍近求远,必须以最快速度到最近的有救治能力的医院抢救。

如果当地有胸痛中心,最好去胸痛中心就诊。

04。

“傻傻”在门诊等半天

曾有一名许姓的女子,44岁,胸痛3小时后来医院看病,坚持挂门诊,在门诊三楼候诊时,突发恶性心律失常(室颤)。

医生护士立即抢救后,依旧没挺过来。

[保命秘籍]

心梗等不起,务必看急诊!

急诊科都有急性胸痛的快速急救绿色通道。

设立了胸痛中心的医院,往往要求10分钟内完成首份心电图检查,20分钟内完成心梗三项的检测,30分钟内完成CT检查。分秒必争!

05。

以为“总有人想害朕”

婆婆妈妈不肯装支架

“可怕的心脏支架,坑害了多少人!”网上流传着很多这样的文章,全是“黑”心脏支架的谣言。

偏偏很多人真的信,犹犹豫豫,耽误时间,活活丧命。

[保命秘籍]

听医生的。

一旦被诊断为心梗,医生建议你溶栓(用药物把血栓溶化)或者做急诊介入手术时,一定要毫不犹豫地爽快答应!

06。

只有自己一个人

却要等家人签字

广东佛山有位姓谭的男子,年仅45岁,只身一人出差来江苏泰兴,突发胸痛,9小时后就诊于江苏省泰兴市人民医院,诊断“急性心肌梗死”。

谭某在这里举目无亲,该怎么办?

听了医生的建议后,他当机立断,自己签字接受急诊手术,最后救了回来。

[保命秘籍]

出门在外发生心梗,如果身边没有亲人,能够救你一命的只有医生!请相信他,果断签字手术。

来源:“北京大学深圳医院”微信公众号

加载中...