新浪资讯

罕见!男子活了41年才知道自己内脏全长反了

新浪新闻

关注

活了41年,广西崇左男子李利(化名)在今年获知两个关于自己的重大信息——自己竟然是一个罕见的“镜面人”。

心肝脾肺肾等器官的位置跟正常人完全相反,同时还患有肝癌。

两个信息叠加,使他成为发病概率仅有千万分之一的罕见病例。

他被千万分之一的概率砸中

今年5月,李利因为肚子痛,到当地医院就诊。B超医生惊奇地发现,他体内的所有脏器都长反了。

在医学上,这叫做完全性内脏反位,俗称“镜面人”,他们的心脏、肝脏、脾脏、胆囊、肾脏、胃、肠等器官的位置与正常人完全相反。该病发病率极低,在正常人群中的发病率为1/8000—1/25000。

打开APP,查看更多精彩图片

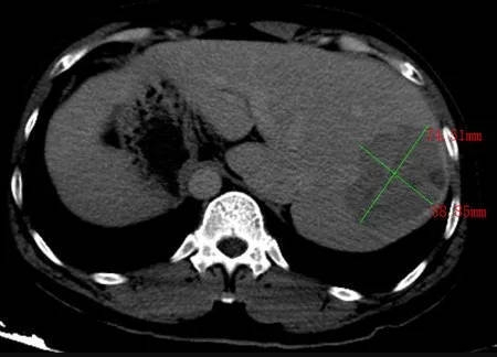
▲CT检查结果显示,跟正常人相比,李利的肝脏长反了。院方供图

由于缺乏体检意识,也没生过大病,李利此前从不知道自己竟然如此罕见。震惊之余,还有另一个更为致命的消息——他的肝脏有一个肿瘤。当地医院建议他立即到大医院做进一步检查。

在广西医科大学第一附属医院,李利被确诊为肝癌。该院肝胆外科主任彭涛介绍,广西的肝癌发病率约为40/10万,再叠加“镜面人”,是罕见中的罕见,发病率仅为1/2000万—1/6000万。

病人“镜面反转”,医生“左右互搏”

五脏六腑的反转,让整个治疗过程变得复杂起来。

放射科医生要“说得清”,外科医生要“看得懂”,双方都得打破原有的思维方式。此外,手术医生要拿出“左右互搏”的本事才行,每一个动作都要经过思考,一旦被惯性支配,就会犯错。

更棘手的是,李利的病情,按照传统临床治疗路径无法手术。

彭涛介绍,肝癌手术有两个基本要求——安全、彻底。有时候,这两个要求是矛盾的,想要彻底,就得多切点,多切又不安全。因此,会根据病人的身高、体重等因素,计算出极限切除比例,确保剩余的肝脏能让病人在手术后活下来。很遗憾,李利的肿瘤较大,且本身患有乙肝,要保留更多的肝脏才行,直接切除肿瘤不可行。

广西面向全球发布最新研究成果

广西医科大学第一附属医院正在实施的一项创新性研究给李利带来了希望。据介绍,这项研究帮助这类原本没有手术机会的患者重新获得手术机会,将一个危险的手术分解为两个安全的手术,最终实现将肿瘤切除。

具体方法是先阻断肿瘤的血供,把为它供血的血管扎住,通过微创的腹腔镜手术即可完成。肿瘤失去血供后就会渐渐萎缩,腾出空间来,好肝脏就会长大,长大到一定比例,达到保留肝脏的要求,就能动手切掉肿瘤了。

这个过程大概需要两三个月,在此期间,肿瘤有可能扩散、转移,因此另一个关键步骤是用最新的抗肝癌靶向药物及免疫药物进行控制。

▲彭涛(右一)为患者进行手术。(资料图片)南国早报记者 邹财麟摄

最终,在放射科、超声科、肿瘤内科、肝胆外科、感染科等多学科团队的合作下,李利成功接受了手术,萎缩的肿瘤被切除,病理结果显示,肿瘤已完全坏死,这是最理想的结果,意味着达到临床治愈。

目前,李利已顺利出院。考虑到肿瘤是一种全身性的疾病,是否会复发、转移,后续还需继续跟进随访。

据了解,广西这项创新性临床研究,在全球范围内提出了一个全新的临床路径,目前,已选定30例病人进入项目,已有15例完成手术。

今年6月,在全球规模最大、学术水平最高的肿瘤学术会议——美国临床肿瘤学会年会上,广西医务人员报告了这项最新的临床研究成果。随着研究的深入和推广,更多肝癌患者有望受益。

来源:南国早报

加载中...